Santé

Activités chez le chiot
L'activité du chiot doit être limitée et adaptée en fonction de sa race et de son âge. Les efforts violents, longs, les sauts, les chocs peuve...
Dilatation Torsion de l'Estomac
La dilatation torsion de l'estomac est une affection qui concerne essentiellement les chiens appartenant à des race de grande taille. C'est une pathologie à la m...

Déplacement Torsion de la Rate (DTR)
1) Définition : Il s'agit du déplacement de la rate dans l'abdomen, et de sa rotation autour de son pédicule vasculaire. C'est un syndrôme aigû...

Parodontolyse
COMMENT UNE SIMPLE INFECTION DENTAIRE PEUT SE PROPAGER A D'AUTRES ORGANES Plus de 85% des chiens et chats âgés de plus de 4 ans souffrent de parodontolyse,...

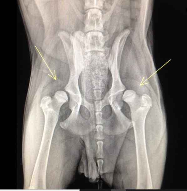
Dysplasie Hanches et Coudes
"Depister la dysplasie du chiot Vous avez adopté un adorable chiot, mais il est de race prédisposée à la dysplasie des hanches…...

Entropion
Nous définirons l'entropion comme étant un vice de position des paupières entraînant un enroulement de leur bord libre sur tout ou partie de...

Oreilles
...

La Maladie d'Aujeszky